Ministerio de Ciencia e Innovación

Identifican un marcador de mala evolución en el linfoma de Hodgkin

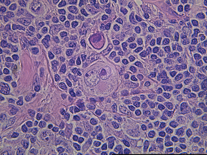
Imagen al microscopio óptico de un linfoma de Hodgkin
Instituto de Investigación contra la leucemia Josep Carreras | jueves, 24 de septiembre de 2020

Un estudio coordinado por Manel Esteller, jefe de grupo del CIBERONC y director del Instituto de Investigación contra la leucemia Josep Carreras, y publicado en la revista Blood, descubre un marcador que permite predecir qué paciente con linfoma de Hodgkin presentará el curso clínico agresivo, y será por tanto un caso de especial riesgo

El linfoma de Hodgkin es uno de los cánceres hematológicos más frecuentes* y constituye un ejemplo de cómo la investigación médica ha cambiado el pronóstico de la enfermedad. Si hace unas décadas era un tumor de pésima evolución clínica en casi todos los pacientes diagnosticados, la introducción de novedosos fármacos lo ha convertido en un tumor curable en un 85% de los casos. Sin embargo, existe un 15% de linfomas de Hodgkin que no responden a la terapia y que siguen teniendo una supervivencia reducida. 

El artículo publicado en la revista Bloodel órgano oficial de expresión de la Sociedad Americana de Hematología (ASH), por el grupo de Manel Esteller, director del Instituto de Investigación contra la Leucemia Josep Carreras (IJC), Profesor de Investigación ICREA y Catedrático de Genética en la Universidad de Barcelona, descubre un marcador que permite predecir que paciente con linfoma de Hodgkin presentará el curso clínico agresivo, y será por tanto un caso de especial riesgo.

Estábamos estudiando en el laboratorio genes que regularan químicamente un tipo de material genético, el ARN, y cuya actividad estuviera perdida en cáncer, y encontramos que era el caso para el gen ALKBH3. Además, era curioso que su inactividad solo sucedía en un tipo de tumor, los linfomas, y especialmente en el linfoma de Hodgkin.” – comenta el Dr. Esteller sobre el artículo en la revista Blood y añade - "Estudiando miles de moléculas de ARN descubrimos que la ausencia de expresión del gen ALKBH3 en el linfoma de Hodgkin induce un aumento de las proteínas llamadas colágenos, que constituyen el armazón extracelular donde habitan las células tumorales. Es decir, lo que sucede en estos pacientes es que las células cancerosas cambian el microambiente que las rodea para poder estar más “cómodas” y poder proliferar mejor. Y este subgrupo de casos es el más maligno porque no encuentran en el espacio que las envuelve barreras que puedan frenar su crecimiento. Es importante conocer con anterioridad que pacientes pertenecerán a esta clase ya que son los candidatos ideales para ensayar nuevos fármacos, incluyendo medicamentos epigenéticos usados para tratar otros cánceres de la sangre como el síndrome mielodisplásico o el linfoma cutáneo.” – declara el investigador.

* Según datos de la Sociedad Española de Oncología Médica de 2019, los linfomas suponen más de 10.500 nuevos diagnósticos cada año en España. En 2019, 1.486 de linfoma de Hodgkin y 9.082 de linfomas no Hodgkin.

Referencia del artículo:

Esteve-Puig R, Climent F, Piñeyro D, Domingo-Domènech E, Davalos V, Encuentra M, Rea A, Espejo-Herrera N, Soler M, Lopez M, Ortiz-Barahona V, Tapia G, Navarro T, Cid J, Farré L, Villanueva A, Casanova I, Mangues R, Santamarina-Ojeda P, Fernández AF, Fraga MF, Piris MA, Kol N, Avrahami C, Moshitch-Moshkovitz S, Rechavi G, Sureda A, Esteller M. Epigenetic Loss of m1A RNA Demethylase ALKBH3 in Hodgkin Lymphoma Targets Collagen Conferring Poor Clinical Outcome. Blood, DOI: 10.1182/blood.2020005823, 2020.