Ministerio de Ciencia e Innovación

Realizan el primer estudio en el que se aplica la estimulación cerebral profunda (DBS) en pacientes con esquizofrenia resistente al tratamiento

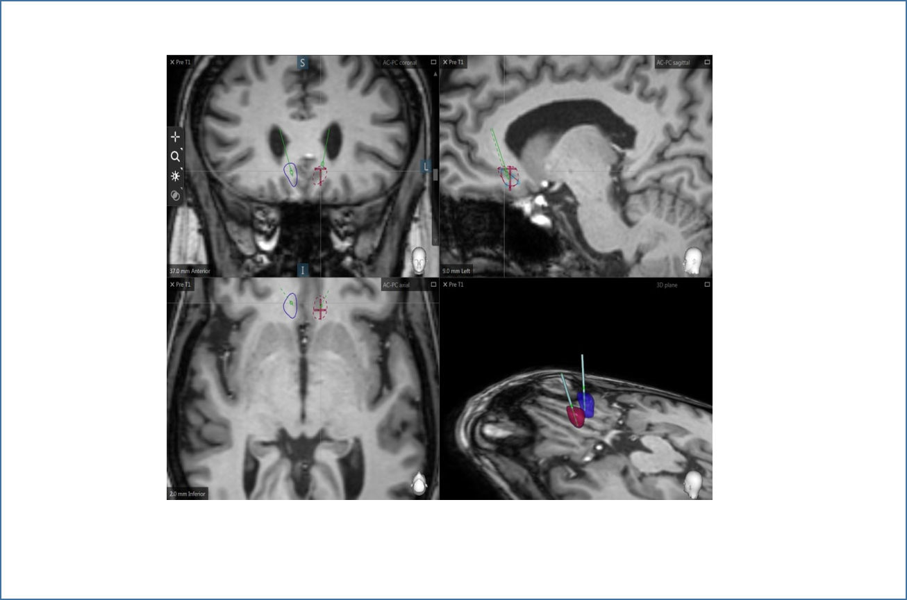
Colocación y programación de electrodos. Núcleo accumbens
H. Sant Pau | martes, 17 de noviembre de 2020

La Unidad de esquizofrenia resistente del Servicio de Psiquiatría de Sant Pau, liderada por la Iluminada Corripio, el Grupo de Investigación en Psiquiatría Clínica del Instituto de Investigación de Sant Pau - IIB Sant Pau, liderado por María J. Portella, y el Grupo de Investigación sobre Trastornos Mentales Graves de FIDMAG Hermanas Hospitalarias, liderado por Edith Pomarol-Clotet, todos adscritos al Centro de Investigación Biomédica en Red de Salud Mental (CIBERSAM), han publicado el primer ensayo en el mundo sobre la aplicación de la técnica quirúrgica de estimulación cerebral profunda (DBS, por sus siglas en inglés) en pacientes con esquizofrenia resistente al tratamiento, que sugiere que este procedimiento puede ser beneficioso en algunos pacientes que no responden adecuadamente a cualquier otro tratamiento.

El ensayo clínico titulado Deep brain Stimulation in treatment resistant schizophrenia: A piloto randomized cross-over clinical trial, publicado en eBioMedicine, una de las revistas generalistas más prestigiosas del mundo, ha sido posible gracias a la realización de dos proyectos de investigación coordinados financiados por el Instituto de Salud Carlos III.

La esquizofrenia es una enfermedad bastante prevalente que afecta a alrededor del 1% de la población mundial (450.000 afectados en el Estado), en la que hasta un 30% de los pacientes no responden adecuadamente al tratamiento con fármacos antipsicóticos convencionales.

Los resultados más destacados de este estudio piloto son la mejoría clínica en 4 de los 8 pacientes intervenidos, observándose una desaparición prácticamente completa de los delirios y alucinaciones, en dos de los pacientes en los que los implantes de electrodos se colocaron en una de las dos ubicaciones posibles en este ensayo, concretamente, en el núcleo accumbens, que forma parte de los llamados ganglios basales. Este porcentaje de respuesta del 50% es similar al hallado en otros estudios de DBS en enfermedades mentales, como la depresión o el TOC.

La estimulación cerebral profunda se utilizó inicialmente en Sant Pau para tratar pacientes con enfermedades neurológicas como la enfermedad de Parkinson y en los últimos años esta técnica ha sido probada también con éxito en el mismo Hospital en trastornos psiquiátricos como el trastorno bipolar y la depresión mayor resistente al tratamiento.

Los pacientes del ensayo clínico

Participaron 8 pacientes, 4 hombres y 4 mujeres de edades comprendidas entre 34 y 54 años. Se consideró que respondían al tratamiento de forma mantenida 4 de los 6 pacientes que continuaron en el estudio y se observó una desaparición prácticamente completa de los delirios y las alucinaciones en 2 pacientes. Los síntomas que respondieron mejor a la DBS fueron las alucinaciones auditivas, y en el caso de una paciente que estaba ingresada en un centro, le permitió volver a vivir con su familia. Cinco de los pacientes presentaron un grado de mejoría clínica suficiente para avanzar en su proceso terapéutico con vinculación en terapias personalizadas o recursos comunitarios (Centros de Día y/o Hospitales de Día), a los que no tenían acceso previamente por la intensidad de sus síntomas.

Una lección importante aprendida en este proyecto de investigación es la necesidad de implementar un Programa de Recuperación personalizado para cada paciente que utilice herramientas de psicoterapia para reintegrarlo en su entorno cercano, tratar los síntomas remanentes y la atención a los cuidadores.

Recientemente, el grupo de investigadores de Sant Pau, con Iluminada Corripio como investigadora principal, ha obtenido un segundo proyecto financiado por el Instituto de Salud Carlos III (ISCIII), que integrará este Programa Psicológico de Atención a la Recuperación y que supondrá continuar avanzando en esta iniciativa pionera en el mundo.

Artículo de referencia

Deep brain Stimulation in treatment resistant schizophrenia: A piloto randomized cross-over clinical trial, ref. NCT02377505, publicado en eBioMedicine