Ministerio de Ciencia e Innovación

Un estudio de biomarcadores en secuenciación del ADN demuestra que la cantidad y clonalidad de TCRs asocia claramente al pronóstico del cáncer colorrectal

ICO-IDIBELL | miércoles, 7 de octubre de 2020

El cáncer colorrectal (CCR) es el tercero más frecuente en todo el mundo con más de un millón y medio de casos nuevos diagnosticados anualmente. Aproximadamente el 20% de los pacientes diagnosticados, en estadio II, experimentan recaídas después de que se les hayan realizado la cirugía. Todavía no existe ningún marcador que identifique pacientes en estadio II con riesgo de la recaída. Por lo tanto, es importante poder identificar biomarcadores pronósticos para este entorno específico.

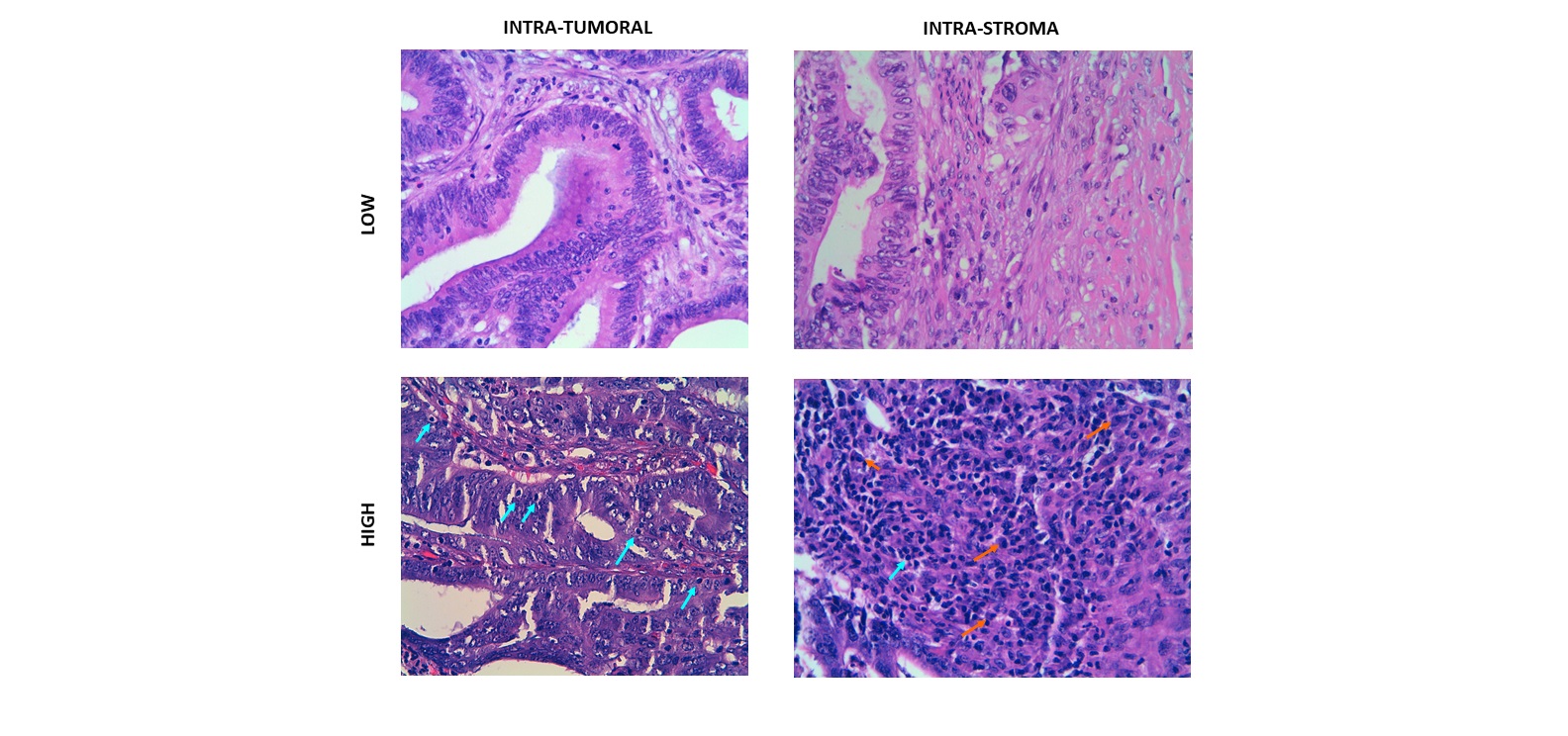
Hasta día de hoy, ya se sabía que la infiltración de las células T (un tipo de linfocito que forma parte del sistema inmunitario adaptativo) tiene un papel importante en la supervivencia de los pacientes con cáncer colorrectal. Así pues, utilizando una nueva técnica llamada ‘inmuno secuenciación de los TCR‘, en muestras de más de 600 pacientes con cáncer colorrectal, se ha querido comprobar la utilidad de este nuevo biomarcador. Esta nueva técnica mide tanto la cantidad de linfocitos T infiltrantes como su clonalidad, que es la diversidad de linfocitos que reconocen dianas diferentes.

Este estudio ha sido una colaboración liderada por Víctor Moreno, jefe de grupo del CIBERESP, responsable del Programa de Análisis de Datos Oncológicas (PADO) del Instituto Catalán de Oncología (ICO), el Instituto de Investigación Biomédica de Bellvitge (IDIBELL), y la Universidad de Barcelona, ​​y su equipo. En el proyecto han participado el grupo de investigación liderado por Dr .Steven Gruber, del ‘City of Hope National Medical Center’ de Los Ángeles, EE.UU., el Dr. Harlan Robins, CEO de la empresa Adaptive Biotechnologies, spin off del Frío Hutch Cancer Research Center de Seattle, EE.UU., y el Prof. Gad Rennert, del Carmel Medical Center and Technion, Haifa, Israel.

¿Cómo se ha realizado este estudio?

Utilizando esta nueva técnica de inmuno secuenciación del TCR se han secuenciado un total de 640 tumores de cáncer colorrectal de cuatro estudios diferentes, tres de pacientes del ICO Hospitalet y uno de Israel. Así pues, a través de esta nueva técnica, a diferencia de los otros métodos, mediante la secuenciación de las regiones TCR (receptor de linfocitos que reconocen antígenos tumorales) se ha obtenido tanto la abundancia de la célula T y que infiltra el tumor como el índice de clonalidad de las mismas.

Los resultados obtenidos han demostrado que la combinación de ambas variables, cantidad y clonalidad, se asocian claramente al pronóstico. Las muestras con más cantidad de TCR y más diversidad de clones son las que presentan un mejor pronóstico de la enfermedad. Según el investigador del CIBERESP y del ICO-IDIBELL, Víctor Moreno, "los resultados de este estudio demuestran que a niveles más altos de TCR, y una mayor diversidad de repertorio TCR, se asocia a un mejor pronóstico en este grupo específico de pacientes donde aún no existen marcadores claros de recurrencia".

Artículo de referencia

R Sanz-Pamplona et al. Lymphocytic infiltration in stage II microsatellite stable colorectal tumors: A retrospective prognosis biomarker analysis. Pols Medicine (2020) https://doi.org/10.1371/journal.pmed.1003292