Ministerio de Ciencia e Innovación

Revisan el papel de la vía de pigmentación de la retina en el albinismo humano

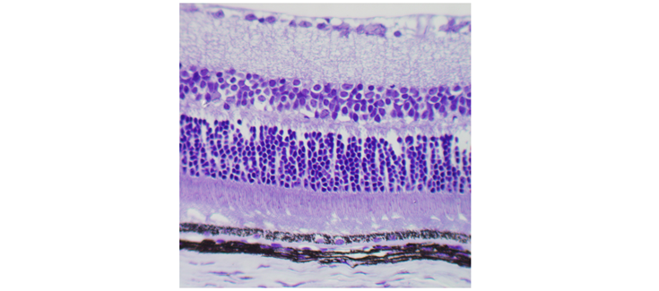
(*)
CIBER | martes, 28 de junio de 2022

Lluís Montoliu, investigador de la U756 CIBERER en el CNB-CSIC, ha participado en un artículo de revisión sobre el papel de la vía de pigmentación de la retina en el albinismo humano publicado en la prestigiosa revista Progress in Retinal and Eye Research.

El albinismo es un trastorno de la pigmentación que afecta a los ojos, la piel y/o el cabello. Los pacientes suelen presentar una disminución de la melanina en los tejidos afectados y sufren graves anomalías visuales.

Los autores de este trabajo, coordinado por Arthur A Bergen, de los Amsterdam University Medical Centers, proponen una única vía de señalización genética de la retina que incluye los 22 genes de la enfermedad del albinismo humano actualmente conocidos.

En el estudio, se repasan las causas genéticas de formas sindrómicas de albinismo, de las diferentes formas de albinismo oculocutáneo y de fenotipos oculares del albinismo más restringidos, además de proponer una vía de pigmentación de la retina, con defectos genéticos y celulares cada vez más específicos que causan un fenotipo ocular más concreto.

Más allá de la participación de los genes de la enfermedad, esta investigación también evalúa una serie de mecanismos reguladores y de señalización que podrían afectar a la actividad de la vía en el desarrollo de la retina, la pigmentación de la retina y el albinismo.

Además, sugieren que la vía de la pigmentación propuesta también está implicada en otros trastornos de la retina, como la degeneración macular asociada a la edad. Las hipótesis planteadas en este informe proporcionan un marco para futuros estudios sistemáticos sobre el albinismo y los trastornos de la pigmentación por melanina.

(*) Explicación de la imagen: Imagen histológica de retina de ratón pigmentado en la que se distinguen todas las capas, desde el coroides (abajo, lleno de melanocitos) al inmediato epitelio pigmentado de la retina y acabando (arriba de todo) con las células ganglionares. Fotografía: Santiago Josa.

Artículo de referencia:

Reinier Bakker, Philip E Wagstaff, Charlotte C Kruijt, Eszter Emri, Clara D M van Karnebeek, Michael B Hoffmann, Brian P Brooks, Camiel J F Boon, Lluis Montoliu, Maria M van Genderen, Arthur A Bergen. The retinal pigmentation pathway in human albinism: Not so black and white. Prog Retin Eye Res. 2022 Jun 18;101091.

doi: 10.1016/j.preteyeres.2022.101091