Ministerio de Ciencia e Innovación

Noticias

  • CIBEROBN
    Seguir una dieta mediterránea hipocalórica y hacer ejercicio diario mantiene la pérdida de peso y mejora el riesgo cardiovascular
    05/11/2018
    Seguir una dieta mediterránea hipocalórica y hacer ejercicio diario mantiene la pérdida de peso y mejora el riesgo cardiovascular
  • CIBERSAM
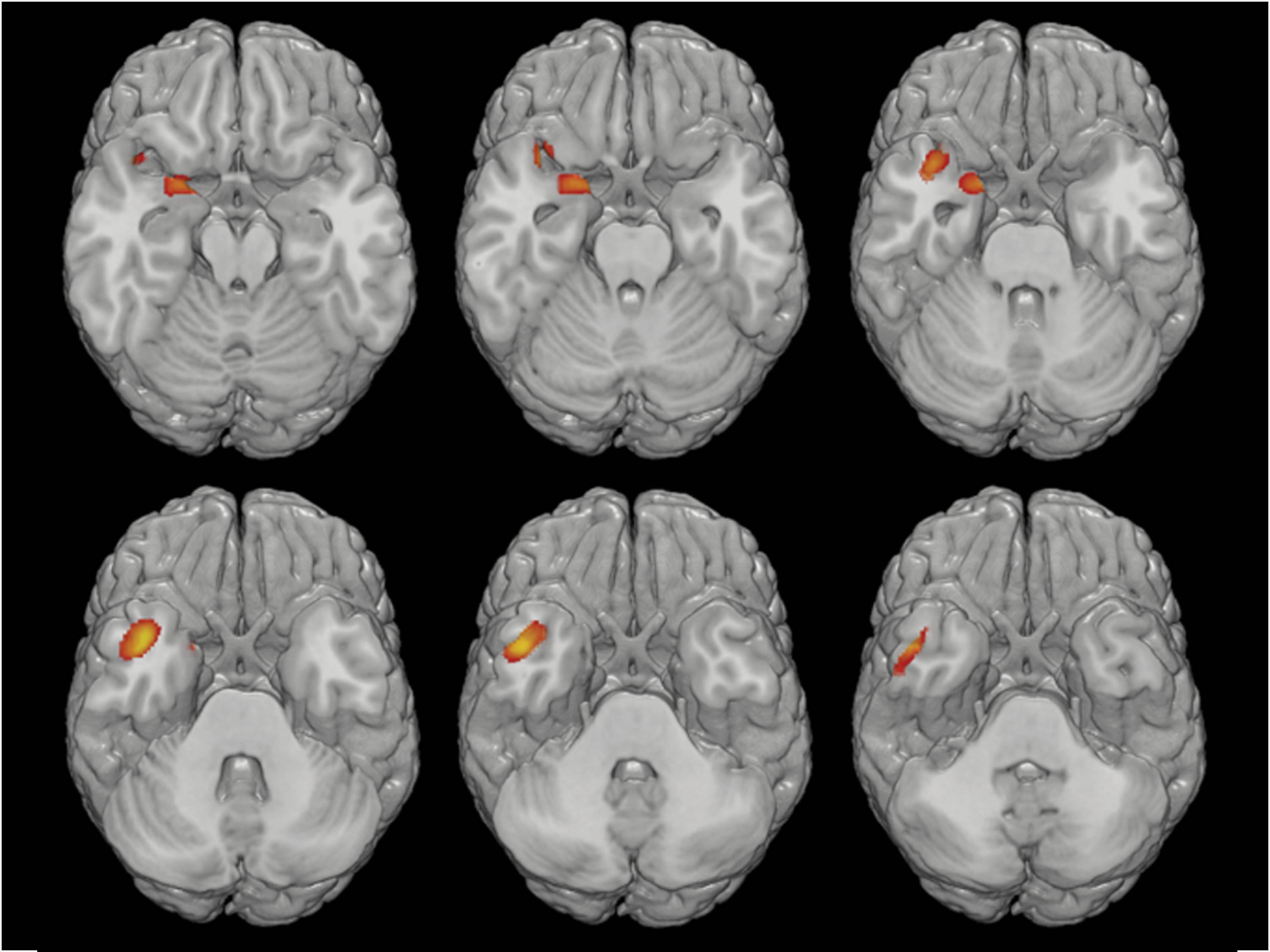
    La dieta mediterránea también se asocia al bienestar psicológico
    05/11/2018
    La dieta mediterránea también se asocia al bienestar psicológico
  • CIBERESP
    INMA: “La exposición a la contaminación atmosférica durante el embarazo también perjudica a la capacidad de atención en la infancia”
    02/11/2018
    INMA: “La exposición a la contaminación atmosférica durante el embarazo también perjudica a la capacidad de atención en la infancia”
  • CIBERDEM
    Nueva diana para mejorar las defensas antioxidantes hepáticas
    31/10/2018
    Nueva diana para mejorar las defensas antioxidantes hepáticas
  • CIBERCV
    Identifican un nuevo mecanismo molecular responsable del envejecimiento del corazón
    30/10/2018
    Identifican un nuevo mecanismo molecular responsable del envejecimiento del corazón
  • CIBERESP
    Un nuevo estudio relaciona la ingesta calórica excesiva con el aumento de la densidad mamográfica
    29/10/2018
    Un nuevo estudio relaciona la ingesta calórica excesiva con el aumento de la densidad mamográfica
  • CIBERCV
    Ensayan una tecnología no invasiva para detectar fallos derivados de la implantación de stents
    25/10/2018
    Ensayan una tecnología no invasiva para detectar fallos derivados de la implantación de stents
  • CIBER
    Las lipoproteínas que transportan el colesterol ‘bueno’ pierden su capacidad cardioprotectora en pacientes con aneurisma aórtico abdominal
    25/10/2018
    Las lipoproteínas que transportan el colesterol ‘bueno’ pierden su capacidad cardioprotectora en pacientes con aneurisma aórtico abdominal
  • CIBERER
    Describen un nuevo síndrome dismórfico causado por mutaciones en un mismo gen
    24/10/2018
    Describen un nuevo síndrome dismórfico causado por mutaciones en un mismo gen
  • CIBEROBN
    Identifican un mecanismo que podría explicar el retraso puberal en adolescentes con anorexia
    23/10/2018
    Identifican un mecanismo que podría explicar el retraso puberal en adolescentes con anorexia
  • CIBERESP
    Estiman en 800.000 personas los afectados por la gripe del pasado año
    23/10/2018
    Estiman en 800.000 personas los afectados por la gripe del pasado año
  • CIBERES
    Revelan las claves genómicas de la evolución adaptativa de bacterias patógenas en el pulmón de los pacientes con EPOC
    23/10/2018
    Revelan las claves genómicas de la evolución adaptativa de bacterias patógenas en el pulmón de los pacientes con EPOC
  • CIBEREHD
    Consensuan las recomendaciones para la detección y la vigilancia de los cánceres colorrectales, gástricos y pancreáticos hereditarios
    23/10/2018
    Consensuan las recomendaciones para la detección y la vigilancia de los cánceres colorrectales, gástricos y pancreáticos hereditarios
  • CIBEREHD
    Una dieta baja en residuos fermentables y un prebiótico mejoran por igual los síntomas asociados al gas intestinal
    22/10/2018
    Una dieta baja en residuos fermentables y un prebiótico mejoran por igual los síntomas asociados al gas intestinal
  • CIBERCV
    Consenso de la Heart Failure Association de la ESC sobre la evaluación y manejo de la Insuficiencia Cardíaca Avanzada
    22/10/2018
    Consenso de la Heart Failure Association de la ESC sobre la evaluación y manejo de la Insuficiencia Cardíaca Avanzada
  • CIBEREHD
    Publican las guías ESMO para carcinoma hepatocelular
    22/10/2018
    Publican las guías ESMO para carcinoma hepatocelular
  • CIBEREHD
    Muestran el papel fundamental de genes implicados en el metabolismo de glicerofosfolípidos en el ciclo de replicación del virus de la hepatitis C
    22/10/2018
    Muestran el papel fundamental de genes implicados en el metabolismo de glicerofosfolípidos en el ciclo de replicación del virus de la hepatitis C
  • CIBERESP
    Ver la televisión se asocia con peor salud mental en mujeres mayores
    22/10/2018
    Ver la televisión se asocia con peor salud mental en mujeres mayores
  • CIBEREHD
    Investigadores del CIBEREHD identifican nuevos biomarcadores metabolómicos para mejorar el diagnóstico del cáncer hepático
    22/10/2018
    Investigadores del CIBEREHD identifican nuevos biomarcadores metabolómicos para mejorar el diagnóstico del cáncer hepático
  • CIBERCV
    Describen el mecanismo por el que los pacientes con variante en el cromosoma 4q25 presentan mayor fibrilación auricular
    19/10/2018
    Describen el mecanismo por el que los pacientes con variante en el cromosoma 4q25 presentan mayor fibrilación auricular
  • CIBEROBN
    Asocian el consumo regular de refrescos azucarados con mayor riesgo de cáncer de mama en la posmenopausia
    18/10/2018
    Asocian el consumo regular de refrescos azucarados con mayor riesgo de cáncer de mama en la posmenopausia
  • CIBERONC
    El gen MAF permite identificar a las pacientes que se beneficiarían del tratamiento preventivo contra la metástasis ósea en cáncer de mama
    17/10/2018
    El gen MAF permite identificar a las pacientes que se beneficiarían del tratamiento preventivo contra la metástasis ósea en cáncer de mama
  • CIBEREHD
    Nuevas vías para el tratamiento del cáncer de hígado
    17/10/2018
    Nuevas vías para el tratamiento del cáncer de hígado
  • CIBEROBN
    Descubren que la microbiota intestinal podría ser un factor de riesgo en el desarrollo de diabetes tipo 1
    17/10/2018
    Descubren que la microbiota intestinal podría ser un factor de riesgo en el desarrollo de diabetes tipo 1