Ministerio de Ciencia e Innovación

Noticias

  • CIBERER
    CIBERER recibe el Premio Somos Pacientes como iniciativa de fomento de la participación del paciente
    04/12/2023
    CIBERER recibe el Premio Somos Pacientes como iniciativa de fomento de la participación del paciente
  • CIBER
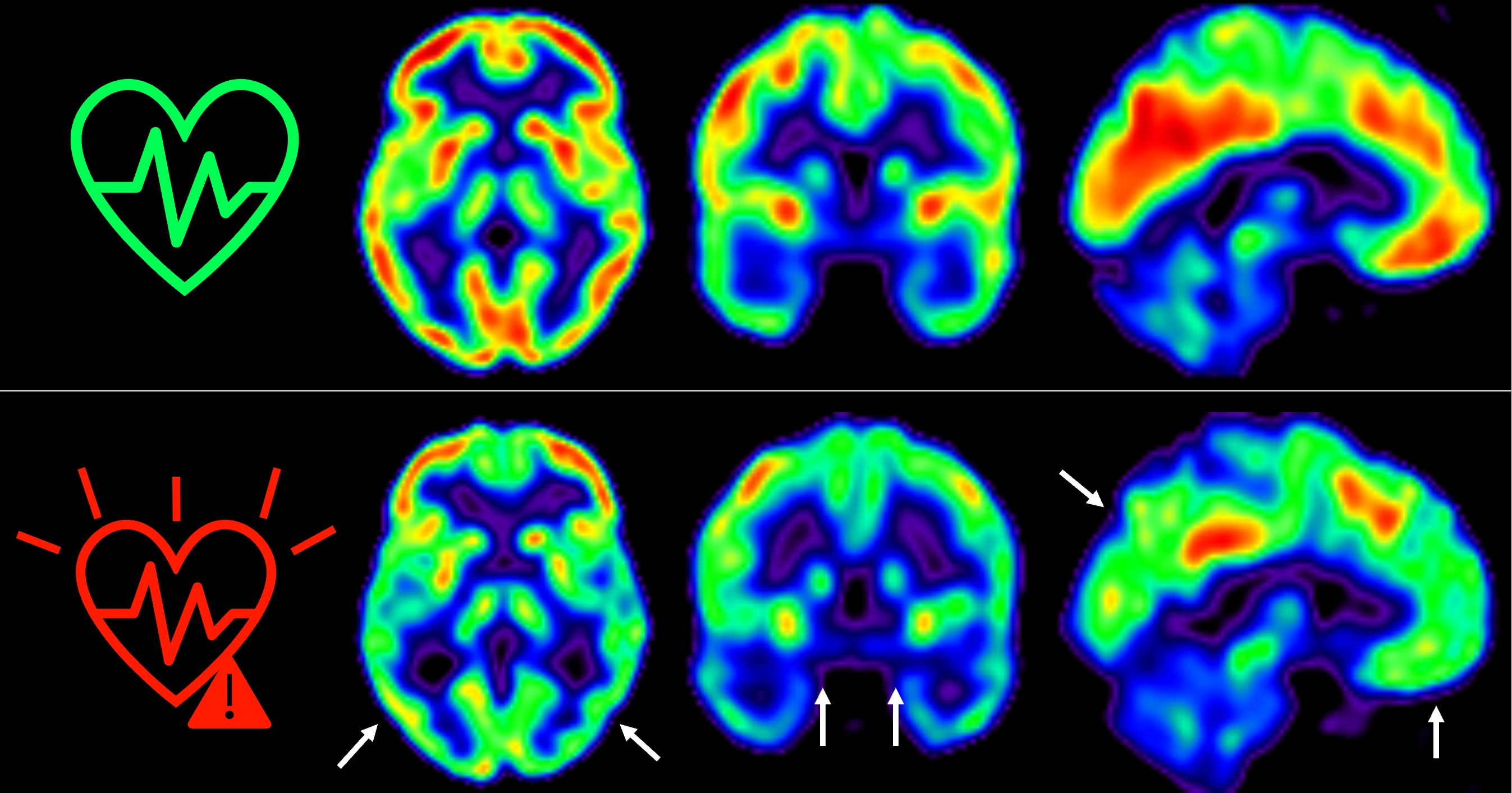
    Demuestran que el envejecimiento prematuro en personas con VIH lo causa la misma infección y no solo el tratamiento con antiretrovirales
    01/12/2023
    Demuestran que el envejecimiento prematuro en personas con VIH lo causa la misma infección y no solo el tratamiento con antiretrovirales
  • CIBER
    Capítulo 9 de “La Ciencia de lo Singular”: estudio del impacto psicológico de las enfermedades raras
    29/11/2023
    Capítulo 9 de “La Ciencia de lo Singular”: estudio del impacto psicológico de las enfermedades raras
  • CIBERDEM
    Revelan cómo interacciona el Síndrome de Ovario Poliquístico con la obesidad en el metabolismo
    29/11/2023
    Revelan cómo interacciona el Síndrome de Ovario Poliquístico con la obesidad en el metabolismo
  • CIBERINFEC
    Los grupos de CIBERINFEC se reúnen en Zaragoza en sus II Jornadas Científicas
    25/11/2023
    Los grupos de CIBERINFEC se reúnen en Zaragoza en sus II Jornadas Científicas
  • CIBERER
    IMPaCT-GENóMICA ofrece un curso práctico de resolución de casos complejos de enfermedades raras
    23/11/2023
    IMPaCT-GENóMICA ofrece un curso práctico de resolución de casos complejos de enfermedades raras
  • CIBERINFEC
    CIBERINFEC en el Día Europeo para el uso prudente de los antibióticos
    18/11/2023
    CIBERINFEC en el Día Europeo para el uso prudente de los antibióticos
  • CIBERONC
    Descubren una de las causas de resistencia a la inmunoterapia del cáncer de pulmón más frecuente
    16/11/2023
    Descubren una de las causas de resistencia a la inmunoterapia del cáncer de pulmón más frecuente
  • CIBERONC
    Un nuevo fármaco frente a un transportador de aminoácidos es efectivo en cáncer de colon
    16/11/2023
    Un nuevo fármaco frente a un transportador de aminoácidos es efectivo en cáncer de colon
  • CIBERES
    El oxígeno suplementario vinculado a la disfunción ventricular derecha en pacientes con tromboembolia pulmonar de riesgo intermedio
    15/11/2023
    El oxígeno suplementario vinculado a la disfunción ventricular derecha en pacientes con tromboembolia pulmonar de riesgo intermedio
  • CIBERONC
    Apuntan a una nueva combinación de tratamientos para combatir el cáncer
    15/11/2023
    Apuntan a una nueva combinación de tratamientos para combatir el cáncer
  • CIBERDEM
    Cuatro equipos del CIBERDEM estudiarán la influencia del ciclo menstrual en la respuesta glucémica de mujeres con diabetes tipo 1
    14/11/2023
    Cuatro equipos del CIBERDEM estudiarán la influencia del ciclo menstrual en la respuesta glucémica de mujeres con diabetes tipo 1
  • CIBER
    Un estudio abre la puerta a un nuevo tratamiento basado en nanopartículas para la enfermedad hepática crónica
    14/11/2023
    Un estudio abre la puerta a un nuevo tratamiento basado en nanopartículas para la enfermedad hepática crónica
  • CIBERESP
    Los problemas de sueño en la infancia aumentan el riesgo de desarrollar síntomas del trastorno por déficit y atención e hiperactividad
    10/11/2023
    Los problemas de sueño en la infancia aumentan el riesgo de desarrollar síntomas del trastorno por déficit y atención e hiperactividad
  • CIBERSAM
    Nace la Red Española de Investigación en Estrés
    10/11/2023
    Nace la Red Española de Investigación en Estrés
  • CIBERCV
    Confirman los efectos antioxidantes y prebióticos del tomillo y orégano en la reducción del riesgo cardiometabólico severo
    06/11/2023
    Confirman los efectos antioxidantes y prebióticos del tomillo y orégano en la reducción del riesgo cardiometabólico severo
  • CIBERDEM
    Estudian una nueva estrategia para reducir el estrés del retículo endoplásmico y la inflamación de las células hepáticas
    06/11/2023
    Estudian una nueva estrategia para reducir el estrés del retículo endoplásmico y la inflamación de las células hepáticas
  • CIBER
    La segunda edición del Foro AseBio-TERAV-CIBER conecta la investigación académica y las capacidades industriales del sector biotecnológico en España en terapias avanzadas
    03/11/2023
    La segunda edición del Foro AseBio-TERAV-CIBER conecta la investigación académica y las capacidades industriales del sector biotecnológico en España en terapias avanzadas
  • CIBERCV
    Identifican un proceso clave en el desarrollo de la calcificación vascular
    02/11/2023
    Identifican un proceso clave en el desarrollo de la calcificación vascular
  • CIBERCV
    La Resolvina D2 podría ser la clave para prevenir y reparar el daño cardiovascular asociado a la hipertensión arterial
    31/10/2023
    La Resolvina D2 podría ser la clave para prevenir y reparar el daño cardiovascular asociado a la hipertensión arterial
  • CIBERER
    Capítulo 8 de “La Ciencia de lo Singular” dedicado al estudio de la calidad de vida en personas con enfermedades raras
    30/10/2023
    Capítulo 8 de “La Ciencia de lo Singular” dedicado al estudio de la calidad de vida en personas con enfermedades raras
  • CIBERFES
    Los grupos del CIBERFES se dan cita en San Sebastián en sus jornadas anuales
    29/10/2023
    Los grupos del CIBERFES se dan cita en San Sebastián en sus jornadas anuales
  • CIBERONC
    Nuevas recomendaciones para la clasificación de variantes en los genes POLE y POLD1 para mejorar la precisión diagnóstica en cáncer hereditario
    25/10/2023
    Nuevas recomendaciones para la clasificación de variantes en los genes POLE y POLD1 para mejorar la precisión diagnóstica en cáncer hereditario
  • CIBEREHD
    Identifican potenciales dianas para tratar el cáncer de hígado infantil más frecuente
    24/10/2023
    Identifican potenciales dianas para tratar el cáncer de hígado infantil más frecuente